Want to create interactive content? It’s easy in Genially!

Get started free

Hueso (Von Kossa)

Omar

Created on March 21, 2025

Start designing with a free template

Discover more than 1500 professional designs like these:

Transcript

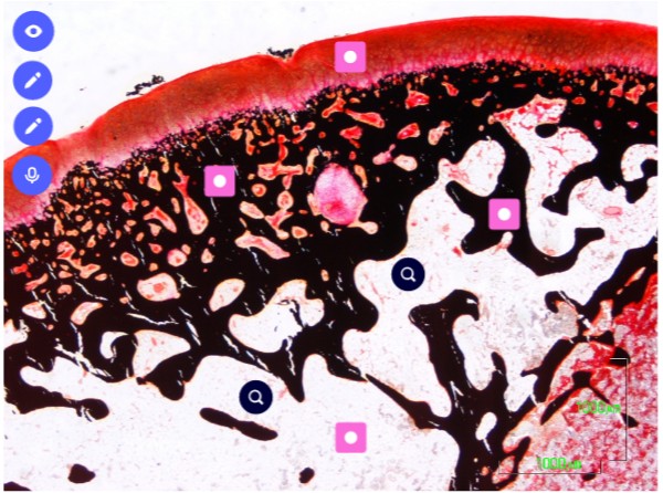
Hueso

Tinción de Von Kossa (2x)

Imagen panorámica de la zona epifisaria del fémur. Se observa el cartílago articular de color rojo. Adyacente, aparece el hueso subcondral compacto del que parten trabéculas óseas. El hueso mineralizado aparece teñido de color negro. Entre las trabéculas óseas se alberga la médula ósea adiposa y hematopoyética.