Want to create interactive content? It’s easy in Genially!

Get started free

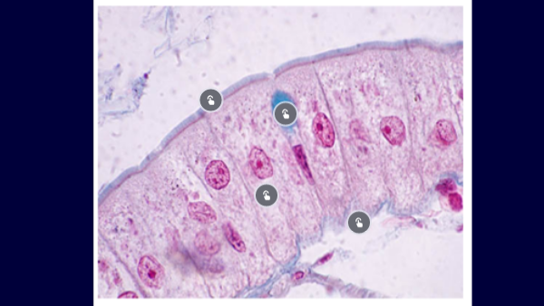
Epitelio cilindrico semplice

donadonriccardo

Created on December 8, 2020

Start designing with a free template

Discover more than 1500 professional designs like these:

Smart Presentation

Practical Presentation

Essential Presentation

Akihabara Presentation

Pastel Color Presentation

Visual Presentation

Relaxing Presentation

Transcript